小児矯正について
小児矯正とは
小児矯正とは、成長期を利用して骨格のバランスを整える治療(Ⅰ期治療)です。一般的な大人の矯正治療(Ⅱ期治療)は、歯の並びを整える治療となりますが、その前処置として顎の大きさのバランスを整えてあげることにより、将来的に抜歯せずに矯正治療が進めることができたり、歯が美しく並びやすい環境となります。

対象年齢は、成長のスパートを利用しての矯正治療となるため、
適正な時期に矯正治療を始めることをお勧めします。また、成長の時期には個人差があるため、早いうちから定期的に経過を追って診させていただけるとスムースに開始することができます。
特に女の子の場合は男の子に比べて成長が早いため、お子様に気になる症状が感じられましたら、
できるだけ早期にご相談にいらしていただくと、時期を逃すことなく効率よく治療を進めることができます。
「もしかしてもう時期的に遅いかも?」と思われる場合も、何かお役に立てる治療法がご提案できる可能性もありますので、遠慮なくご相談ください。小児矯正をおこなったので歯並びが治ると確約される治療ではありませんが、顎のバランスを整えることができる時期は限られていますので、早めの受診をお勧めいたします。
矯正装置の種類
小児矯正にはたくさんの種類がありますが、どの装置を使用するかは、実際に診察させていただき、詳しく検査をさせていただいてからの判断となります。
また、場合によって数種類の装置を組み合わせて使用する場合もございます。
予防矯正
- ムーシールド
ムーシールドとは反対咬合(受け口)のお子様を対象とした装置です。舌を正しい位置に誘導することを目的としており、その結果としてかみ合わせの改善が期待できることがあります。乳歯が生えそろう3歳くらいを目途に治療開始が可能です。
ムーシールドの効果
①舌を上に持ち上げ上顎を広げる
舌の正しい位置は上顎を押し上げている状態です。この押し上げによって上顎は広がり、下顎より広く、バランスのとれた状態となります。実は舌の形と上顎の形はほぼ同じなのが正常な状態です。しかし、受け口の方は舌を上顎につけることができないため、ムーシールドで矯正的に舌を持ち上げ、受け口を改善します。
②舌で下の前歯を押さないようカバーする
受け口の方は上顎に舌を上げられないために、舌で下の前歯を押してしまいます。そのため下の前歯が前方に押され受け口になってしまいます。ムーシールドを使うと舌が前歯を押すことをカバーできるので、下の前歯が正しい位置に戻り、受け口を改善します。
③頬の筋肉で上顎を狭くさせないようにカバーする
食べ物を飲み込む時、口の周りの筋肉に力が入りすぎることを異常嚥下癖(いじょうえんげへき)といいます。歯に強い筋肉の力がかかりすぎると、顎が小さくなっていきます。ムーシールドによって上顎に筋力がかかりすぎないようにし、上顎が正常な成長ができるようにムーシールドでカバーします。
ムーシールドは口腔内の筋機能療法となるため、結果として歯並びが改善されることがありますが、基本的には成長期のお子様の筋肉の正しい使い方を目的としているため、必ずしも歯並び改善するわけではないということをご理解ください。
日中の使い方
毎日、就寝時の使用に加えて日中1時間以上、ムーシールドを装着してください。ムーシールドを装着したら、しっかりと口を閉じることで口周りの筋肉が鍛えられます。装着中はご飲食はお控えください。
就寝時の使い方
治療期間中は、就寝時もムーシールドを装着する必要があります。就寝中にムーシールドが外れる場合は、お口にテープを貼ることでしっかりご使用いただけます。毎日就寝時に装着し、慣れてくると、外れにくくなります。
注意事項
①毎日装着する
ムーシールドは口周りの筋肉を鍛え、舌を正しい位置に誘導するための装置です。そのため、効果を得るためには、毎日きちんと装着する必要があります。慣れるまでは口に物を入れることが気持ち悪く、嫌がるお子様もいらっしゃいますが、少しずつ慣らし、根気よく装着することが大切です。
②鼻呼吸を意識する
ムーシールドを装着したら、口を閉じて鼻呼吸を意識しましょう。鼻呼吸を意識することで、舌の位置を正しい位置に矯正することができます。
③装着前に歯磨きをする
ムーシールドを装着する前には、必ず歯磨きをしましょう。ムーシールドに付着した汚れによって細菌が繁殖すると、虫歯になる可能性があります。口腔内のケアはもちろん、ムーシールドのお手入れも怠らないようにしましょう。
④定期的なチェック
ご来院時にはクリーニングや虫歯のチェックとともに矯正治療の効果をチェックします。成長とともに装置の交換も行ってまいります。
床矯正
- 拡大床(Expansion Plate)
- 咬合斜面板(Jumping Plate)
取り外し可能の装置を使い、週に一度装置に備え付けのネジをご家庭で回すことで顎骨の成長を促しバランスを整えることができます。顎が小さくて将来的に歯を並べることが難しいと判断した場合に使用します。
上の顎に比べて、下の顎が後方にある場合、取り外し可能な装置を使って下の顎が前方に来るように誘導します。また併せて顎が小さい場合には、ネジを組み込んで顎骨の成長を促すことも可能です。
顎顔面矯正
- 急速拡大装置(Rapid Expansion/Hyrax)
- ファンタイプ(Fan)
- バライエティ(Variety)
- リンガルアーチ(Lingual Arch)
- FKO
- TPA(Trans Palatal Arch)
- ツインヘリックス/クワドヘリックス
上顎骨の成長の時期にあわせて固定式の装置を装着します。
固定式の装置なのでご自身での取り外しはできません。ご家庭で備え付けのネジを毎日回していただくことで顎骨の成長を促進します。一次的に前歯の間に隙間ができますが、だんだん目立たなくなっていきます。
上顎骨の成長の時期に合わせて固定式の装置を装着します。
固定式の装置なのでご自身での取り外しはできません。
ご家庭で備え付けのネジを毎日回していただくことで顎骨の成長を促進します。急速拡大装置が側方に広がるのに対して、ファンタイプの装置は前方・側方両方に顎骨の成長を促進することが可能です。
上顎骨の成長の時期に合わせて固定式の装置を装着します。
固定式の装置なのでご自身での取り外しはできません。
ご家庭で備え付けのネジを毎日回していただくことで顎骨の成長を促進します。
急速拡大装置に比べると違和感・効果の少ない装置となります。
下顎の歯の裏側にワイヤーを沿わせて顎骨の成長を促したり、歯を動かしたりできる装置です。
固定式の装置なのでご自身での取り外しはできません。
咀嚼筋など口腔周囲の筋機能を利用して下顎の成長を促進させる装置です。
取り外し可能で、就寝時のみお使いいただきます。
上顎の大臼歯の傾斜を改善するための装置です。
固定式の装置なのでご自身での取り外しはできません。
上顎の大臼歯の傾斜を改善するための装置です。固定式の装置なのでご自身での取り外しはできません。
また、装置にオプションをつけてほかの歯を同時に動かすことも可能です。
マウスピース矯正
- インビザラインファースト
- インビザライン® 口蓋拡大システム
混合歯列期(乳歯と永久歯の両方が混在する状態)に限局したマウスピース矯正です。
ご自身で取り外しが可能です。永久歯が全てそろってから再度矯正治療が必要(Ⅱ期治療)となるケースがありますが、Ⅱ期治療の期間や費用を抑えることが可能です。
お口の中の3Dスキャンデータに基づきカスタムメイドで作られる、取り外し可能な装置を使用して、お子様の上顎を横方向に広げる矯正治療です。
従来の金属製固定式装置とは異なり、お子様ご自身で簡単に取り外しが可能です。お食事や歯磨きも通常通り、食べ物が挟まる心配もなく衛生的にお口を保てます。また金属製固定装置によるアレルギーや、発音しにくい問題も解消されました。
装置は目立ちにくい白い素材(金属不使用)でできており、滑らかな着け心地です。学校生活での見た目に関する心理的負担や、装置が口腔内に当たる違和感を軽減できます。
段階的に設計された複数の装置を順番に交換していくことで、少しずつ無理なく上顎を拡大します。ご自宅で保護者様がネジを回す必要がなく、従来の装置に比べ痛みや圧迫感が少ないのが特徴です。
上顎が狭く、永久歯が並ぶスペースが不足しているお子様に適しています。将来的に抜歯を伴う矯正を避けられる可能性を高め、インビザライン・ファースト®と組み合わせて治療を進めることも可能です。
MFT(口腔筋機能療法)
MFT(口腔筋機能療法)とは舌や口唇・頬などの口腔顔面筋のトレーニングをおこなうことで 後天的な筋肉の不調和を整えていく療法です。

咀嚼時、嚥下時、発音時、安静時の舌や唇の位置の改善、および呼吸をはじめとした口腔機能の改善効果が期待できます。骨格や歯並びが乱れる原因として、お口周りの筋肉や悪習癖・呼吸・発音・咀嚼・姿勢が関連している場合があります。その場合、骨格や歯並びを治しても、根本的な原因を改善しない限りまた後戻りしてしまいます。
当院では、根本的な治療を目指し、上記装置に合わせて、必要がある場合はMFT(口腔筋機能療法)の指導を行っております。また、どのトレーニングをどの順番で進めていくかは、ひとりひとりの口腔内状態やライフスタイルによってプログラムを作成しております。
小児矯正(顎顔面矯正)をおこなうことで
改善する可能性のある症状
- ・いつも口が開いている
- ・口臭がする
- ・虫歯になりやすい
- ・口内炎がよくできる
- ・歯が着色しやすい
- ・活舌が悪い
- ・姿勢が悪い
- ・鼻がよくつまっている
- ・扁桃腺が腫れやすい
- ・いびきをかく
- ・落ち着きがない
- ・疲れやすい
- ・おねしょをする
- ・ご飯を食べるのが遅い
- ・ご飯を食べる時にくちゃくちゃ音がする
上記の症状は、小児矯正(顎顔面矯正)をおこなうことで必ず改善すると確約できるものではありませんが、状況によって改善するケースが多い症状です。
気になる症状があるお子様は、お気軽にご相談にいらしてください。
小児矯正治療症例
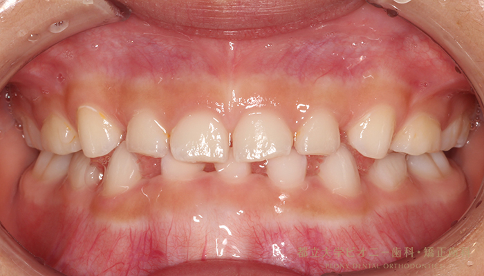
Case1
Before
After
| 主訴 | 受け口が気になる |
|---|---|
| 治療期間 | 6か月 |
| 治療費 | 88,000円(税込) |
| 治療内容 | ムーシールド(筋機能療法) |
| 治療のリスク | ・使用できる時期が限られている。 ・装置に慣れるまで時間がかかることがある。 ・鼻呼吸が難しいと使えないことがある。 |